Intelligenza Artificiale Amazon affida a un algoritmo il licenziamento dei dipendenti Il mondo in cui le persone vengono monitorate e supervisionate dalle macchine non…Charlotte Jee26/04/2019
Salute L’accumulo di muco, non le infezioni, provocano i danni ai polmoni tipici della fibrosi cistica Terapie contro l'accumulo del muco iniziate nell'infanzia potrebbero prevenire le conseguenze peggiori della…MIT Technology Review Italia26/04/2019
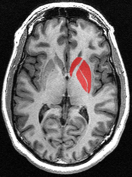
Salute Riconosciuto un nuovo ruolo per i segnali sensoriali nel cervello La scoperta potrebbe portare a benefici per i pazienti affetti da Parkinson o…MIT Technology Review Italia26/04/2019
Salute Rivelata la struttura di un ricettore cerebrale critico per apprendimento, memoria, comportamento e umore Conoscere la struttura dei recettori AMPA nei roditori potrebbe condurre alla scoperta dei…MIT Technology Review Italia26/04/2019
Salute Originano dall’ippocampo i nuovi neuroni del cervello Lo studio approfondisce la relazione tra nuovi neuroni, apprendimento e memoria nel corso…MIT Technology Review Italia26/04/2019
Connettività Il Regno Unito acquisterà prodotti Huawei per le sue reti 5G La decisione, seppure limitata esclusivamente a componenti secondarie, sollecita il contrasto fra Regno…Charlotte Jee26/04/2019
Connettività Walmart presenta la sua visione per il futuro dei supermercati Il colosso statunitense ha inaugurato un negozio pilota che ricorre a delle telecamere…Charlotte Jee26/04/2019
Salute La Stanford esonera i propri professori dallo scandalo delle gemelline CRISPR Secondo il New York Times, i tre scienziati della Stanford non avrebbero “direttamente…Charlotte Jee25/04/2019
Smart City & Mobility Attivisti denunciano il Canada per il progetto di smart city a Toronto Il progetto per il quartiere avveniristico immaginato da Sidewalk Labs è a rischio.…Charlotte Jee18/04/2019
Energia Prende forma la batteria in grado di abbattere il costo delle elettriche Forte di un nuovo finanziamento da $22 milioni per realizzare la sua prima…James Temple18/04/2019
Intelligenza Artificiale Facebook lavora a un assistente vocale per i suoi prodotti La società sta sviluppando il software da un anno, ma non ha ancora…Charlotte Jee18/04/2019
Salute Scienziati hanno ripristinato la circolazione a cervelli di maiale in teste recise L'esperimento potrebbe portare ad una ridefinizione della morte. di Antonio Regalado Si tratta…Antonio Regalado18/04/2019