Business Huawei ha perso la licenza per Android La sospensione della licenza da parte di Google è una delle prime conseguenze…Charlotte Jee20/05/2019
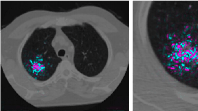
Intelligenza Artificiale Una AI potrebbe rilevare il cancro ai polmoni più rapidamente ed efficacemente Una nuova ricerca condotta da Google mostra come l’apprendimento automatico potrebbe un giorno…Will Knight20/05/2019
Energia Il borofene è il nuovo materiale delle meraviglie Più forte e flessibile del grafene, un singolo strato atomico di boro potrebbe…ArXiv17/05/2019
Intelligenza Artificiale L’autopilot di una Tesla Model 3 era stato attivato poco prima dell’ultimo incidente fatale Si tratta del terzo incidente a bordo di un’automobile con sistema di guida…Charlotte Jee17/05/2019
Salute I nanotubi lungo cui viaggiano le proteine dell’Huntington Nanotubi si estendono come ponti su cui viaggiano le proteine tossiche della malattia…MIT Technology Review Italia17/05/2019
Business Trump mette al bando le attrezzature telecom straniere Nonostante le smentite sull’orientamento dell’ordine esecutivo verso particolari paesi o società, Huawei e…Charlotte Jee16/05/2019
Intelligenza Artificiale Apparecchi acustici leggono il vostro cervello per capire chi volete ascoltare Per chi ha problemi di udito, riuscire a distinguere un particolare oratore all’interno…Charlotte Jee16/05/2019
Intelligenza Artificiale Le AI potrebbero salvare delle vite senza rivelare segreti clinici La Stanford Medical School ha avviato il primo grande test di una piattaforma…Will Knight16/05/2019
Intelligenza Artificiale Una intelligenza artificiale ci mostra la devastazione del cambiamento climatico Una AI può illustrarci il probabile impatto che il cambiamento climatico avrà sul…Will Knight16/05/2019
Business Scoperte nuove falle nella sicurezza dei chip Intel Le quattro nuove vulnerabilità, svelate da ricercatori del campo, interessano quasi tutti i…Martin Giles15/05/2019
Connettività Facebook: giro di vite sullo streaming live L’obiettivo è ridurre il rischio che le persone infrangano le regole e utilizzino…Charlotte Jee15/05/2019
Clima Trovata spazzatura in fondo alla fossa delle Marianne L’immersione nella più profonda depressione oceanica al mondo ha portato a una inaspettata…Charlotte Jee15/05/2019